Le service de chirurgie prend en charge tous les cas de chirurgie.
Au CHV VetOccitanie, la chirurgie réunit expertise de spécialistes et plateau technique avancé pour traiter les affections orthopédiques, neurologiques et des tissus mous, du cas programmé à l’urgence. Chaque intervention est préparée avec une imagerie de haut niveau et réalisée sous monitoring complet pour une sécurité maximale.
-
Orthopédie & arthroscopie
Prise en charge des dysplasies (hanche, coude), des boiteries et traumatismes : TPLO, prothèse totale de hanche, arthroscopie mini-invasive pour les lésions du coude (FCPM) et autres articulations.
Objectif : récupération fonctionnelle rapide et durable
-
Neurochirurgie
Consultations de neurologie avec scanner/IRM puis chirurgie de la colonne : hernies discales, instabilité cervicale caudale (Wobbler), instabilité lombo-sacrée, tumeurs vertébrales.
Parcours intégré imagerie-bloc pour limiter délais et risques
-
Mini-invasif & laser
Techniques de laparoscopie/cœlioscopie et thoracoscopie (incisions réduites, suites plus confortables) ; chirurgie laser CO₂ adaptée à de nombreuses indications cutanées et ORL.
Choix des modalités en fonction du bénéfice patient.
-
Sécurité anesthésique & soins
Bloc équipé en monitoring capnographie, oxymétrie, ECG ; analgésie multimodale et hospitalisation avec surveillance 24/7 si nécessaire.
Compte rendu et plan de convalescence remis en fin d’hospitalisation.
Orthopédie - Chirurgie articulaire
Le Centre Hospitalier VetOccitanie est spécialisé dans le traitement des maladies et traumatismes orthopédiques et articulaires.
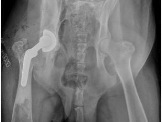
Traitement des dysplasies ou anomalies articulaires
- Dysplasie de la hanche: Symphysiodèse pubienne, Triple ostéotomie du bassin, Prothèse totale de hanche
- Dysplasie du coude: Arthroscopie, coronoidectomie, ...
- Luxation de rotule,...
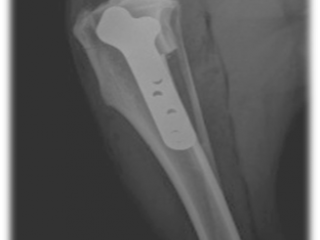
Traumatologie
- Ruptures du ligament croisé cranial: ostéotomie par TPLO, ligamentoplastie
- Fractures: plaques vissées, plaques verrouillés, fixation externe de type JAM ou illizarov
- Entorses/ luxations: ligamentoplastie, pontage articulaire, ancres osseuses,...
Traitement des déformations ou des racourcissements des membres
- Ostéotomies correctrices, ostéotomie d'allongement par technique d'illizarov, greffe osseuse ...
NeuroChirurgie
Notre équipe prend en charge les affections du cerveau et de la colonne (hernies discales, instabilités cervicales, tumeurs, traumatismes) du diagnostic rapide à l’intervention.
Chaque dossier est préparé par IRM/Scanner, discuté en collégial et opéré sous monitoring anesthésique strict. Objectif : décomprimer, soulager la douleur et restaurer la mobilité, avec hospitalisation en soins intensifs si nécessaire.
Consultations de neurologie
- Scanner
- IRM
Chirurgie de la colonne vertébrale
- Hernies discales
- Syndrome de Wobbler (instabilité cervicale caudale)
- Instabilité vertébrale
- Chirurgie cancéreuse
Chirurgie du crâne
- Méningiomes
- Hydrocéphalie
- Syringomélie
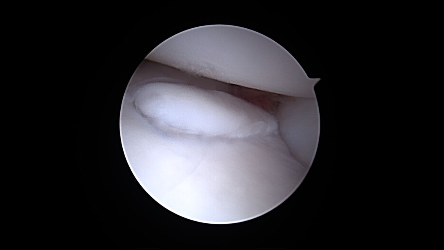
Arthroscopie
L'arthroscopie est une technique de chirurgie mini-invasive des articulations, qui permet de voir et traiter à l’intérieur du coude, de l’épaule, du genou ou du carpe via de très petites incisions.
Idéale pour les lésions comme FCP (coude), OCD (épaule/genou) ou atteintes méniscales, elle réduit douleur, saignement et temps de convalescence, avec un retour à la mobilité plus rapide.

Lésion débutante coronoidienne

Arthroscopie du coude montrant une fragmentation du processus coronoide médial

Arthroscopie du coude montrant un soulèvement du fragment du processus coronoide médial

Arthroscopie d'un coude montrant une lésion d'ostéochondrose (flèches bleues) et une lésion de fragmentation du processus coronoide médial (flèches rouges)

Arthroscopie d'un coude arthrosique
Quel est le principe de la laparoscopie ou coelioscopie ?
La laparoscopie consiste à accéder à la cavité abdominale sans ouvrir la paroi abdominale.
Elle nécessite un équipement spécialisé:
- Une « optique » de 5 ou 10 mm de diamètre (reliée à une caméra et à une source de lumière) est introduite dans la cavité abdominale à travers une petite incision que le chirurgien pratique juste en arrière de l’ombilic. Cette « optique » est reliée à un « moniteur » (écran) que le chirurgien regarde en opérant.
- Du gaz carbonique (CO2) est ensuite introduit dans la cavité abdominale pour la soulever et ainsi créer un espace entre la paroi et les viscères où le chirurgien peut regarder et introduire ses instruments d’endochirurgie.
- Enfin, des « trocarts » (sortes de grosses aiguilles de 5 ou 10 mm de diamètre) sont introduits à travers la paroi ainsi soulevée. Ces trocarts permettent au chirurgien d’introduire ses instruments pour opérer (pinces, ciseaux, instruments de coagulation et de suture, etc.).
La cœlioscopie exige une formation spécifique et une certaine expérience.
Les avantages de la laparoscopie sont multiples :
- diminution de « l’agression » chirurgicale sur le corps de l’animal, d’où une moindre douleur en post-opératoire ;
- diminution du risque infectieux ;
- diminution du risque de complications « pariétales » (abcès de paroi, éventration,…) ;
- pour certaines interventions : diminution de la durée opératoire ;
- diminution de la durée d’hospitalisation ;
- diminution de la taille des cicatrices.
Quels sont les avantages de la laparoscopie ou coelioscopie par rapport aux techniques chirurgicales standard ?
Quels types d'interventions chirurgicales sont réalisables sous laparoscopie ou coelioscopie ?
Un certain nombre d'intervention sont réalisables sous laparoscopie. Ces dernières peuvent se réalisées soit sous laparoscopie complète soit sous laparoscopie assistée (extériorisation alors d'un organe par une petite incision cutanée).
Les différentes interventions chirurgicales réalisables sous laparoscopie chez le chien et le chat sont:
- ovariectomie ;
- ovario-hystérectomie ;
- cryptorchidie (testicule intra-abominal) ;
- pexie (fixation) de l'estomac pour éviter le syndrome dilatation de l'estomac ;
- colopexie (fixation du colon) ;
- biopsies du foie, des intestins, ganglions...
- retrait de corps étranger : estomac ou intestin ;
- retrait de calculs vésicaux ;
- drainage de kystes paraprostatiques ;
- néphrectomie ;
- surrénalectomie.
Thoracoscopie
La thoracoscopie est une technique chirurgicale mini-invasive de diagnostic et d'intervention sur la cavité thoracique de plus en plus utilisée. Elle fait partie des techniques d'endoscopie chirurgicale.
La thoracoscopie consiste à accéder à la cavité thoracique sans ouvrir la paroi thoracique. Elle nécessite un équipement spécialisé:
- Une « optique » de 5 ou 10 mm de diamètre (reliée à une caméra et à une source de lumière) est introduite après mise en place d'un trocart dans la cavité thoracique à travers une petite incision dont la localisation dépend de l'acte chirurgical à réaliser. Cette « optique » est reliée à un « moniteur » (écran) que le chirurgien regarde en opérant.
- D'autres « trocarts » (sortes de grosses aiguilles de 5 ou 10 mm de diamètre) sont ensuite introduits dans la cavité thoracique sous contrôle visuel. Ces trocarts permettent au chirurgien d’introduire ses instruments pour opérer (pinces, ciseaux, instruments de coagulation et de suture, etc.).
- La thoracoscopie exige une formation spécifique et une certaine expérience.
[VIDEO] Ligature du canal thoracique sur un chat présentant un chylothorax : la chirurgie est réalisée sous thoracoscopie ; une dissection dorsale à l'aorte est réalisée afin de repérer le canal thoracique (conduit grisâtre) ; celui-ci est ligaturé au moyen d'une pince ligasure.
[VIDEO] Péricardectomie chez le chat : la chirurgie est réalisée sous thoracoscopie ; une fenêtre péricardique (retrait de la partie ventrale du péricarde) est réalisée au moyen d'une pince ligasure ; cette technique est indiquée dans les cas de chylothorax et d'épanchement péricardique
Les avantages de la thoracoscopie sont multiples :
- diminution de « l’agression » chirurgicale sur le corps de l’animal, d’où une moindre douleur en post-opératoire ;
- diminution du risque infectieux ;
- diminution du risque de complications « pariétales » ;
- pour certaines interventions : diminution de la durée opératoire ;
- diminution de la durée d’hospitalisation ;
- diminution de la taille des cicatrices.
Quels sont les avantages de la thoracoscopie par rapport aux techniques chirurgicales standard (thoracotomie et sternotomie) ?
Quels types d'interventions chirurgicales sont réalisables sous thoracoscopie?
Les différentes interventions chirurgicales réalisables sous thoracoscopie chez le chien et le chat sont:
- Exploration thoracique ;
- Péricardectomie ;
- Biopsies pulmonaires, ganglionnaires ou de la plèvre ;
- Ligature du canal thoracique ;
- Diverticule oesophagien secondaire à une persistance du 4ème arc aortique ;
- Lobectomie pulmonaire
- retrait de masse médiastinale (thymome,..).
Chirurgie laser
La chirurgie laser CO₂ permet des gestes très précis avec peu de saignement et moins de douleur/œdème, favorisant une récupération plus rapide.
Idéale pour de nombreuses interventions des tissus mous (ORL, voies aériennes des brachycéphales, dermatologie, cavité buccale), elle limite le traumatisme tissulaire et améliore le confort post-opératoire.
L’acronyme LASER évoque un procédé d’amplification de la lumière par le phénomène d’émission stimulée décrit par Einstein en 1917. Les caractéristiques bien particulières de ce type de rayonnement ainsi que ses interactions avec les tissus en ont fait un outil précieux en médecine et en chirurgie.
Il existe une grande diversité de lasers, avec des effets variés et donc des indications différentes. Aussi, leur utilisation requiert une connaissance pointue des principes physiques et optiques régissant leur fonctionnement, d’être conscient de leur dangerosité potentielle et de respecter les règles de sécurité nécessaires.
Il est important de toujours utiliser des lunettes de protection pour se protéger des rayons laser. Désormais accessibles aux vétérinaires, les lasers chirurgicaux offrent de nouvelles perspectives dans de nombreuses spécialités : Chirurgie des tissus mous, ophtalmologie, chirurgies mini-invasives et endoscopiques, oncologie.
Nous avons opté pour un laser à CO2
La longueur d’onde de ce laser est de 10600 nm dans l’infrarouge lointain.
Ce laser est idéal pour couper et vaporiser les tissus. En effet, sa longueur d’onde est massivement absorbée par l’eau.
Il peut réaliser des incisions nettes ou des vaporisations pour des puissances moyennes à fortes ou avoir un effet de coagulation pour des puissances inférieures. Les vaisseaux sanguins de moins de 0,6 mm sont coagulés et scellés ainsi que les vaisseaux lymphatiques. Il en résulte une réduction des saignements avec une meilleure visualisation du site opératoire, une réduction de l’œdème post-opératoire et une diminution des facteurs de l’inflammation transportés par les vaisseaux lymphatiques. On obtient aussi une diminution de la douleur post-opératoire car les nocicepteurs de petite taille sont vaporisés.
Ce laser peut être utilisé en mode continu, pulsé ou superpulsé ainsi qu’en mode scanner.
Avantages : Pas de surprise; avec ce laser « What you see is what you get » : ce que l’on voit est ce que l’on a. Cela signifie que les dommages collatéraux de nécrose thermique sont très limités avec ce rayonnement.
Inconvénients : il ne peut pas coaguler les vaisseaux au dessus de 0,6mm de diamètre. Il est aussi difficilement utilisable pour les procédures endoscopiques.

















