Service de médecine interne



Le service de médecine interne prend en charge les cas complexes et les maladies chroniques du chien et du chat.
Notre rôle : poser un diagnostic fiable, structurer un parcours d’examens pertinent et proposer un traitement personnalisé, en lien étroit avec votre vétérinaire traitant.
-
Bilans diagnostiques structurés
Interrogatoire précis, examen clinique complet, checklist des hypothèses, choix d’examens ciblés (pas de sur-prescription).
L’objectif : expliquer les symptômes, hiérarchiser les causes et décider vite.
-
Large spectre de pathologies
Digestif/foie/pancréas, rénal & urinaire, endocrinien (diabète, hyperthyroïdie du chat), hémato-immunitaire, respiratoire, infectieux.
Cas récurrents (vomissements, amaigrissement, fièvres inexpliquées) et maladies chroniques avec plan de suivi.
-
Parcours intégré d’examens
Coordination directe avec l’imagerie (IRM, scanner, écho, radio), analyses de laboratoire et, si indiqué, actes mini-invasifs (ponctions/biopsies, endoscopies).
Compte rendu clair et devis expliqués avant chaque étape.
-
Suivi & continuité des soins
Plan thérapeutique sur-mesure, réévaluations, conseils au quotidien. Possibilité d’hospitalisation si nécessaire.
Transmission systématique au vétérinaire référent pour une prise en charge continue.
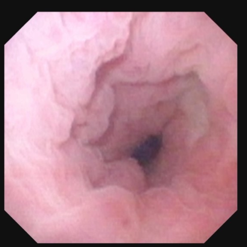
Endoscopie
Le centre hospitalier VetOccitanie est équipée d’un endoscope Olympus dernière génération permettant une exploration non invasive.
L’endoscopie limite les actes invasifs lourds et s’intègre au travail conjoint de la médecine interne et de l’imagerie médicale. Résultat : réponses plus rapides et prise en charge plus confortable pour l’animal.
L'endoscopie est l'examen de choix pour différentes situations médicales.
- Exploration directe & biopsies ciblées avec une visualisation des muqueuses et prélèvements précis en digestif, respiratoire et urinaire.
- Examen non invasif qui répond vite aux “pourquoi” des symptômes.
- Diagnostic + traitement en une séance. Retrait de corps étrangers, dilatation des sténoses, stents œsophagiens,....
- Guidage dynamique par fluoroscopie.

Gastro-entérologie
Endoscopie digestive haute et basse, procédure de dilatation des sténoses œsophagienne et colique, mise en place de stent provisoire œsophagien. Etude de contraste œsophagien sous fluoroscopie.

Affections respiratoires
Endoscopie respiratoire (rhinoscopie, laryngoscopie, bronchoscopie). Fluoroscopie des voies respiratoires. Médecine interventionnelle: stricture naso-pharyngienne, retrait de polype nasopharyngé, stent permanent ou provisoire naso-pharyngé, stent trachéaux et bronchiques. Réalisation de lavage bronchoalvéolaire.

Uro-néphrologie
Endoscopie urinaire (cystoscopie, vaginoscopie, urétrographie), défauts congénitaux (uretères ectopiques, brides vaginales…), réalisation de biopsies urinaires, retrait de calcul urinaire par endoscopie, contraste urinaire, stent et dilatation urétrale. Suivi des SUB.
Laboratoire d'analyses médicales
Notre laboratoire permet de réaliser au chevet du patient différentes analyses de sang grâce à différents analyseurs :
- Deux analyseurs Idexx d'hématologie Procyte Dx pour obtenir les numérations formules sanguines. Ceci permet de savoir notamment si l'animal est anémié, ou si un phénomène infllammatoire sanguin est présent.
- Deux analyseurs Idexx de biochimie Catalyst One pour détecter des troubles des paramètres biochimiques du sang. Cet analyseur permet notamment d'évaluer le fonctionnement des reins, du foie,... et de mesurer et surveiller les différents éléments présents dans le sang comme le glucose, les ions, et certains paramètres de souffrances tissulaires comme les lactates.
- Un analyseur Idexx Coag Dx pour détecter les troubles de la coagulation sanguine
- Un microscope Leica CME pour détecter des anomalies des frottis sanguins, des ponctions articulaires, des ponctions de liquide céphalo-rachidien, et des ponctions d'organes.
En pratique
Prendre rendez-vous pour une consultation de médecine interne
Vous êtes vétérinaire référent
Veuillez compléter le formulaire de référé de médecine interne au moins 12 heures avant le rendez-vous de l’examen d’imagerie.
Un compte-rendu de l’examen d’imagerie vous sera envoyé par email.
Vous êtes propriétaire d'un chien ou d'un chat
Les prises de rendez-vous se font sur conseil de votre vétérinaire traitant et en appelant notre secrétariat au 05 61 61 20 20.
- Jeûne 12 h avant l’examen d’imagerie (sauf indication contraire).
- Apportez son dossier médical (comptes rendus, examens). Le formulaire de référé nous est envoyé par votre vétérinaire.
- Mutuelle : pensez à l’attestation si votre animal est assuré.
FAQ
-
Quand consulter en médecine interne ?
En cas de symptômes persistants ou inexpliqués (perte de poids, vomissements/diarrhées, fièvres, troubles urinaires, diabète, anémie, pathologies auto-immunes), ou sur adresse de votre vétérinaire.
-
Comment se déroule la consultation ?
Bilan complet (historique + examen), liste d’hypothèses puis proposition d’un parcours d’examens priorisé avec devis. Décision partagée avec vous.
-
Les examens (IRM/Scanner/écho) sont-ils faits le jour même ?
Selon l’indication, l’état de l’animal et les créneaux disponibles. Nous privilégions un parcours rapide quand c’est pertinent et sûr.
-
Mon animal doit-il être à jeun ?
Il est recommandé de ne pas nourrir votre animal dans les 12 heures qui précèdent l’examen d’imagerie médicale. En effet, la réalisation des échographies abdominales sur animal à jeun permet de mieux visualiser les organes abdominaux et limite le risque de fausse déglutition lors de sédation ou anesthésie générale.
Les consignes vous sont confirmées lors de la prise de RDV.



