Service d'imagerie médicale VetOccitanie
L’imagerie est une spécialité devenue incontournable dans le monde vétérinaire. Elle regroupe toutes les techniques permettant d’obtenir des images sans l’intervention de la lumière : la radiographie, l’échographie, le scanner, la résonance magnétique (IRM), la scintigraphie…
Ces méthodes permettent d’explorer le corps de manière non invasive. La complexité des machines et les connaissances requises pour effectuer ce type d’examen requiert souvent un niveau d’expertise élevé en imagerie médicale, ce qui est le cas chez VetOccitanie grâce à notre équipe de spécialistes radiologues.
Nous avons fait le choix d’un scanner 80 barrettes
Un scanner 80 barrettes offre une acquisition très rapide avec des coupes fines et des reconstructions 2D/3D précises.
Concrètement, cela signifie :
- Moins de temps d’examen (utile en urgence et pour limiter l’anesthésie).
- Meilleure qualité d’image sur le thorax, l’abdomen, le crâne et l’appareil locomoteur.
- Dose optimisée grâce aux protocoles adaptés au gabarit et à l’indication.
- Injection systématique de produit de contraste avec un injecteur automatique synchronisé pour des temps artériels, portaux et veineux de qualité et une lecture plus fiable.
Ce choix technologique s’inscrit dans notre objectif : poser rapidement le bon diagnostic et planifier une prise en charge sûre (médicale ou chirurgicale).
Le scanner est particulièrement pertinent dans les situations suivantes :
- Oncologie / bilans d’extension : détection de nodules pulmonaires discrets, exploration thoraco-abdominale, cartographie vasculaire pré-thérapeutique.
- Traumatologie & orthopédie : fractures complexes, lésions articulaires (coude/épaule/genou), évaluation pré-opératoire (TPLO, prothèse), suivi de consolidation.
- Neurologie & colonne : hernies discales, tumeurs, infections, fractures/luxations vertébrales, malformations ; utile aussi pour le crâne et les cavités nasales.
- Thorax & voies aériennes : recherche de masses, corps étrangers, dilatations, bronchopathies ; étude des vaisseaux (angiographie).
- Abdomen & urologie : malformations vasculaires (shunts), uretères ectopiques, calculs, lésions hépato-spléniques/pancréatiques.
- Guidage de gestes : biopsies/ponctions ciblées de lésions profondes quand l’échographie ou la radiographie sont insuffisantes.
- Selon l’état de l’animal, certains examens peuvent être réalisés avec des sédations courtes ; nous priorisons toujours sécurité et confort.
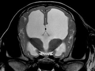
Pour compléter le scanner, le CHV dispose d’une IRM haut champ (1,5T) ORIAN, particulièrement performante pour :
- Cerveau et moelle épinière (épilepsie, AVC, tumeurs, hernies discales, myélopathies).
- Articulations et tissus mous (ménisques, cartilages, ligaments), quand une analyse fine des tissus est nécessaire.
Notre IRM présente des gradients élevés ainsi qu'une grande ouverture de tunnel permettant de réduire les temps d'acquisition et d'augmenter la résolution spatiale de nos images.
Le CHV VetOccitanie est également équipé d’une IRM 1,5T
Scanner et IRM sont complémentaires
Le scanner excelle pour le thorax, l’abdomen, l’os et la cartographie 3D pré-chirurgicale, l’IRM est la référence pour la neuro-imagerie et certaines lésions articulaires.
Notre équipe d'imagerie choisit la modalité au cas par cas, pour obtenir la meilleure réponse diagnostique dans les meilleurs délais.
Radiologie numérique
Grâce à l’utilisation des rayons X, la radiographie est la technique d’imagerie la plus ancestrale. Sa découverte date du XIXe siècle.
Depuis les techniques de radiographie n’ont cessé de se perfectionner pour en arriver à la digitalisation des images radiographiques d’aujourd’hui. La réalisation et qualité des examens s’est beaucoup améliorée depuis ces dernières années.

La radiographie : un examen de choix en première intention
En médecine et cancérologie
La radiographie est un atout majeur pour déceler des lésions traumatiques après un accident de la voie publique ou une chute.
- La détection et suivi de lésion pulmonaire est facilement réalisable avec des clichés radiographiques du thorax.
- La radiographie abdominale est encore d’actualité pour rechercher des pathologies intestinales, masse splénique ou calculs urinaires avant de cibler les investigations avec des techniques d’imagerie plus poussée comme l’échographie ou le scanner si besoin.
En chirurgie
La majorité des chirurgies orthopédiques nécessitent un bilan radiographique avant et après la chirurgie.
Techniques avancées avec du produit de contraste
Du produit de contraste peut être injecté dans les voies urinaires (urétro-cystographie rétrograde, cystographie à double contraste, pyélographie antégrade) ou dans le colon (colonographie) pendant l’examen radiographique. Cela permet de détecter des obstructions urétrales, urétérales, ou des anomalies du colon.
Un service de téléradiologie est proposé
Il suffit au vétérinaire traitant de nous contacter par email en envoyant les clichés radiographiques effectués dans sa clinique, et notre radiologue effectuera un compte-rendu dans les 24 heures.
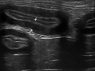
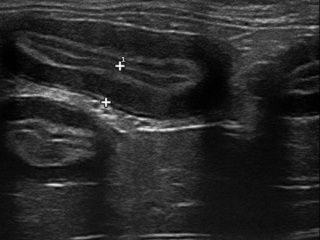
Echographie
Le CHV VetOccitanie est équipé d’un échographe Canon i700 pour être plus performant.
L’échographie utilise la propagation des ultrasons pour créer les images. Cette technique non-irradiante permet de réaliser les examens en temps réel. L’utilisation de différentes sondes échographiques ayant un niveau de résolution plus ou moins important permet de remédier à toutes les situations, aussi bien chez les petits chats que chez les grands chiens.
Les indications de l'échographie sont nombreuses
Echographie en médecine et cancérologie
L’échographie abdominale permet la détection et le diagnostic de la majorité des pathologies abdominales. D’autres régions comme le cou, le thorax ou les tendons peuvent également être examinées échographiquement.
Echographie en chirurgie
Certaines pathologies chirurgicales comme les obstructions gastro-intestinales dues à l'ingestion d'un corps étranger, les torsions spléniques, ou les calculs urinaires peuvent facilement être diagnostiquées à l'échographie.
L’échographie est la technique de choix pour effectuer les suivis de SUB (« subcutaneous ureteral bypass ») en cas d’obstruction de l’uretère.
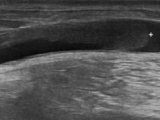
Ponctions échoguidées en temps réel
Grace à l’échographie, les lésions peuvent être ciblées et ponctionnées à l’aiguille fine. L’épaisseur de l’aiguille est la même que pour les prises de sang.
Si nécessaire, une plus grosse aiguille peut être utilisée afin de réaliser des biopsies échoguidées.
Nous proposons également un service de téléradiologie
Vous pouvez nous envoyer les clichés radiographiques effectués dans votre clinique, et notre radiologue effectuera un compte-rendu dans les 24 heures.
Tarif : 40€/région anatomique + 10€/région supplémentaire
Si vous avez un cas urgent difficile, n’hésitez pas à nous contacter directement par téléphone et à nous envoyer les images par email. Notre radiologue vous conseillera gratuitement par téléphone avec plaisir.


















